【资讯】首例3D打印人工膝关节置换手术 为患者“私人订制”
大千创意园
近日,北京大学首钢医院骨科利用3D打印技术,成功完成一例复杂夏科氏膝关节炎人工关节置换手术。58岁的陈先生术后康复的非常顺利,第三天就能下床活动了,陈先生激动地对关振鹏主任说:“感谢您让我重新站了起来,感谢北京大学首钢医院骨科给了我整个家庭新的希望!”据悉,本次复杂关节置换手术的成功完成,不仅填补了北京大学首钢医院骨科领域的技术空白,同时标志着医院在人工关节置换技术方面又上了一个新台阶。

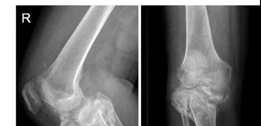
膝关节术前x光片
据介绍,陈先生患有夏科氏膝关节炎,丧失站立及行走能力已经半年多了,严重影响了他的生活质量。夏科氏膝关节炎是一种临床少见病,诊断和治疗是一个综合复杂的过程。在来我院就诊之前,陈先生曾辗转就医,希望恢复行走能力,但就诊得到的答案一次次的打击着陈先生,他认为今后自己只能在轮椅上生活了,作为一家之主的他,心理和生理上遭受着双重打击。

膝关节术前CT片
陈先生抱着一丝希望找到了骨科主任关振鹏教授并入住病房。入院检查显示陈先生有严重的下肢畸形,膝关节肿大、积液,双下肢乏力,膝周痛觉缺失,关节活动障碍,情况非常复杂。影像学提示膝关节对位不良,关节半脱位,关节间隙不规则,胫骨上段干骺端结构紊乱、胫骨平台大面积塌陷,呈现陈旧性粉碎骨折表现,局部骨缺损严重。在仔细分析陈先生的病情后,关主任鼓励陈先生要重燃战胜疾病的信心,准备为他实施人工膝关节置换手术,帮助他重新站起来!

3D技术打印模型
根据陈先生的病情,关振鹏主任率领骨科团队首先为他定制了3D打印的病损膝关节模型,3D模型清晰地显示了陈先生病情的严重性与复杂性,手术的难度非常高。关主任细致地为患者制定了手术方案,通过3D模型为患者量身定制了组配铰链式膝关节假体。

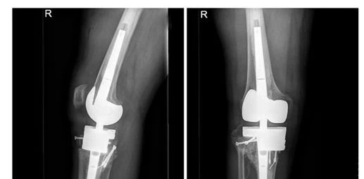
8月22日,关振鹏主任带领骨关节团队为陈先生首先实施了右下肢关节置换手术。手术历时近3个小时,非常成功。手术的成功让陈先生获得了与原来等长并且没有内翻畸形的右下肢,术后恢复良好。

膝关节置换术后
3D打印技术正在深入我们的生活,带来深刻的变化,尤其是在医疗行业的应用,发展速度迅猛。除了生物3D打印以外,骨科、齿科、三维模拟及术前扫描等科目的应用也是层出不穷,总体上3D打印医疗应用发展呈现出三个方向:安全化、个性化、产业化。成功的3D打印技术推广可以使患者获益。3D打印技术是精准医疗的术前模拟规划与验证成本最低的方式之一。随着全球3D打印技术应用的持续发展和深入,这些年威斯坦不仅仅在制造3D打印设备,还一直着眼于将SLA光固化3D打印技术应用在各个领域,而医疗行业就是其一。如今凭借SLA技术的高效率高精度的特性,目前已经能够结合临床需求提供用于诊断和治疗的3D打印病例模型以及康复支具、导板等医疗产品,非常适合医院与医疗机构医学研究院校使用。威斯坦可以为您提供专业的3D打印医疗应用解决方案,如有需要,欢迎联系我们!